Skip Menu
Continue
***WEEKEND HOURS AVAILABLE***
Both Emergencies And Appointments - Click Here To Contact Us Today
1075 Central Park Ave, Suite 414, Scarsdale, NY 10583
Scarsdale Plaza Dental Services
Logo
  • Home
  • About Us
    • Our Office
    • New Patients
    • Smile Gallery
    • Dental Videos
    • Testimonials
  • Meet Our Doctor
    • Katarzyna Gilewicz, DDS
  • Services
      • Ceramic Crowns
      • Dental Bridges
      • Dental Fillings
      • Dentures
      • Emergency Treatment
      • Extractions
      • Implant Dentistry
      • Night Guards
      • Oral Cancer Screening
      • Oral Exams
      • Preventive Program
      • Root Canals
      • Sedation Dentistry
      • Sports Mouthguards
      • Teeth Whitening
      • Veneers
    • View All
  • Dental Health
  • Emergency Treatment
  • Contact
    • Contact Us

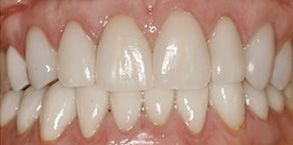
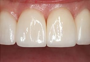
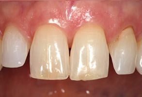
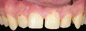
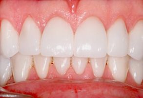
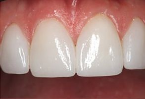
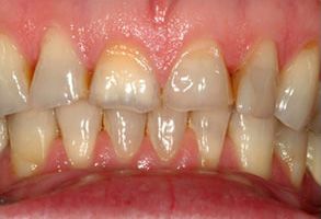
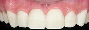
Smile Gallery

Additional Information

Our Location

1075 Central Park Ave
Suite 414
Scarsdale, NY 10583
(917) 512-8344

Follow Us

To make an appointment, simply call us or
click here to request an appointment online.